
Причины состояния
Головная боль и слабость в организме могут появляться по разным причинам:
- развитие простудного или вирусного респираторного заболевания;
- развитие воспалительных процессов в организме;
- снижение артериального давления (гипотония);
- недостаток витаминов и минералов в организме (например, витаминов D и B12, отвечающих за транспортировку кислорода по кровеносным сосудам к головному мозгу);
- бесконтрольный прием некоторых лекарственных средств, вызывающих эти симптомы в качестве побочных эффектов;
- нарушение работы щитовидной железы, сахарный диабет и другие эндокринные патологии;
- эмоциональные нагрузки, стрессы;
- некоторые желудочно-кишечные заболевания, сопровождающиеся нарушением впитывания питательных веществ;
- сердечно-сосудистые болезни;
- менингит;
- доброкачественные и злокачественные опухоли;
- мигрень;
- синдром хронической усталости;
- недосыпание.
Как определить заболевание?
Как мы видим, причин головной боли и усталости может быть очень много. А как выяснить, являются эти симптомы признаками опасной патологии или нет?
Мнение эксперта
Филимошин Олег Александрович
Врач-невролог, городская поликлиника г. Оренбурга.
Образование: Оренбургская государственная медицинская академия, Оренбург.
В этом вопросе важно понимать, что развитие серьезного заболевания всегда сопровождается появлением ряда сопутствующих симптомов, которые позволяют дифференцировать ту или иную проблему.
ОРВИ
Описание
Задайте свой вопрос врачу-неврологу бесплатно
Ирина Мартынова. Закончила Воронежский государственный медицинский университет им. Н.Н. Бурденко. Клинический ординатор и невролог БУЗ ВО «Московская поликлиника».Задать вопрос>>
Группа заболеваний, которые характеризуются развитием острого воспалительного процесса в органах дыхания из-за попадания вирусов в организм.
Тип боли
При ОРВИ она связана с повышением температуры и появлением острого воспалительного процесса в горле, пазухах, носоглотке.
Наиболее часто фокусируется в области лба и висков, сопровождается чувством давления, «распирания» и тяжестью.
Другие проявления
ОРВИ может сопровождаться повышением температуры тела до 38-39 градусов, заложенностью носа, кашлем, воспалением в горле, ломотой в теле, ознобом, общим недомоганием, резью в глазах. Иногда на его фоне появляются другие осложнения (отит, ларингит, бронхит и т.д.).
Методы диагностики и терапии
Диагностику проводит врач терапевт, иногда ЛОР. Назначается лечение в домашних условиях, которое включает: постельный режим, микстуры от кашля, сосудосуживающие капли в нос, растительные отвары для полоскания горла, чай с малиной и медом, средства для укрепления иммунитета (Анаферон, настойка эхинацеи, Иммунал).
Мигрень

Мигрень (migraine) – заболевание неврологического характера, отличительным признаком которого является появление мучительных головных болей, связанных с нарушением работы сосудов.
Мнение эксперта
Митруханов Эдуард Петрович
Врач-невролог, городская поликлиника, Москва.
Образование: Российский государственный медицинский университет, ГБОУ ДПО Российская медицинская академия последипломного образования МЗД РФ, Волгоградский государственный медицинский университет, Волгоград.
Серьезные органические патологии (травмы, опухоли) при этом в картине заболевания отсутствуют.
Тип болевых ощущений
Мигрень сопровождается сильными и мучительными головными болями высокой или средней интенсивности, усиливающимися при движении, эпизодическими или постоянными, возникающими с одной или (реже) с двух сторон. При отсутствии лечения приступы могут длиться до 72 часов.
Другие проявления
Тошнота, рвота, фонофобия (чувствительность к громким звукам), учащенное сердцебиение, частое мочеиспускание, потливость, сонливость, вялость.
Методы диагностики и терапии
Диагностику проводит врач невролог. Диагноз утоняется по анализу жалоб пациента, лабораторным анализам, рентгенологическому снимку, МРТ.
Для лечения применяются: успокоительные средства (экстракт валерианы, Персен, Тенотен), растительные и искусственные антидепрессанты (настойка зверобоя, Амитриптилин), НПВП (Напроксен, Ибупрофен), анальгетики.
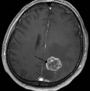
Злокачественная опухоль

Злокачественная опухоль характеризуется появлением патологического новообразования, опасного для человеческой жизни, состоящего из злокачественных раковых клеток, обладающих возможностью быстрого роста и метастазирования.
Тип боли
Интенсивность и характер болевого синдрома зависит от локализации опухоли, тяжести процесса, индивидуальных особенностей организма.
Другие проявления
На начальных стадиях опухоль может никак себя не проявлять вплоть до интенсивного роста новообразования. Тогда самочувствие пациента начинает резко ухудшаться, могут возникать: тошнота, утомляемость, рвота, нарушение слуха и зрения, трудности распознавания речи, расстройства общей и мелкой моторики и т.д.
Клиническая картина при раке очень обширна и многогранная.
Методы диагностики и терапии
Диагностика проводится комплексно и включает: КТ, МРТ, рентгенологическое исследование, лабораторные анализы, гистологию и цитологию. Лечение проводится хирургическое. Пациенту может быть назначен курс химиотерапии или лучевой терапии, а затем длительное медикаментозное поддерживающее лечение.
Менингит

Менингит – тяжелое инфекционное заболевание, характеризующееся воспалением головного и спинного мозга из-за попадания в организм бактерий, вирусов, или грибков.
Возникает как самостоятельное заболевание или в качестве осложнения.
Тип боли
Очень сильная, резкая, диффузная, распирающая, усиливающаяся при движении и повороте головы, а так же от резкого шума и световых раздражителей. При гнойном менингите болевой синдром особенно выражен.
Другие проявления
Пациента могут беспокоить так же: ломота в теле, тошнота, рвота, ригидность шеи, лихорадка, чувствительность к звукам и световым раздражителям, измененное состояние сознания, раздражительность, сонливость.
Методы диагностики и терапии
Для выявления менингита применяется люмбальная пункция. Из позвоночного канала врач извлекает спинномозговую жидкость и направляет ее в лабораторию для дальнейшего исследования. Диагноз подтверждается, если в ней находят вредоносных возбудителей (бактерии, вирусы). Больных менингитом лечат антибиотиками, противовирусными или противогрибковыми препаратами (в зависимости от типа возбудителя).
Иногда назначаются стероидные лекарства.
Боррелиоз

Боррелиоз (Болезнь Лайма) – инфекционное заразное заболевание, передаваемое человеку при укусе насекомыми и клещами.
Тип боли
При боррелиозе больного беспокоят сильные головные боли, чаще локализованные в глазном яблоке, могут отдавать в затылок. Симптомы не проходят даже тогда, когда человек спит.
Другие проявления
Ломота и скованность в мышцах и суставах, высокая температура до 40 градусов, тошнота, рвота, ощущение вялости, нарушение работы ЦНС и сердечно-сосудистой системы.
Болезнь преимущественно поражает кожные покровы, нервную и сердечно-сосудистую систему, опорно-двигательный аппарат.
Способы диагностики и лечения
Болезнь Лайма диагностируется на основании клинической картины, эпидемиологического анамнеза (прогулка в лесу, укус клеща), серологического исследования на выявление антител к боррелиям в сыворотке крови. Может применяться метод ИФА или ПЦР. Лечение назначается комплексное. Выбор препаратов зависит от тяжести болезни. Обязательно назначаются антибиотики, а так же нестероидные противовоспалительные препараты (Напроксен, Индометацин), иммунодепрессанты (Плаквенил), анальгетики, общеукрепляющие средства.
Артериальная гипертония

Заболевание сердечно-сосудистой системы, главным признаком которого является стойкое повышение артериального давления (от 140/90 и выше).
Тип боли
При гипертонии она сжимающая или генерализованная, пульсирующая, иногда вызывает ощущение плотной повязки на голове.
Как правило, сильнее проявляется по утрам, а в течение дня затихает.
Другие проявления
Тошнота, заложенность и шум в ушах, пелена в глазах, учащенное сердцебиение, ощущение давления в глазах, головокружение, вялость, подавленность.
Методы диагностики и лечения
Постановку диагноза осуществляет врач кардиолог на основании анамнеза, жалоб пациента, холтеровского мониторирования, ЭКГ, систематического измерения давления. Лечение комплексное, медикаментозное.
Специалист назначает блокаторы рецепторов ангиотензина, диуретические средства, антогонисты калия, лекарства для очищения сосудов и т.д.
Абузусная головная боль

Специалисты так же называют ее «рикошетной» или «лекарственной». Ее главной причиной является злоупотребление различными аптечными препаратами. Она относится к вторичным формам цефалгий, тесно связана с мигренью.
Тип боли
Проявляется двусторонней цефалгией сжимающего или давящего характера, умеренной или слабой интенсивности. Может быть диффузного характера, локализоваться в лобно-затылочной части или в височной области.
Усиливается при интеллектуальной и физической нагрузке.
Другие проявления
Усталость, вялость, подавленность настроения.
Методы диагностики и терапии
Диагностика осуществляется на основе анамнеза, расспроса пациента о принимаемых препаратах. Для снятия абузуса снижают дозировку принимаемого лекарства или полностью его отменяют, назначают средства от цефалгии, иногда антидепрессанты.
При тяжелом состоянии может потребоваться детоксикация.
Другие причины

- Заболевания придаточных пазух носа (гайморит, этмоидит, фронтит). Болит голова и слабость во всем теле, заложенность носа, давление и тяжесть в голове при наклоне вниз – типичные жалобы при синуситах, которые описывает пациент на приеме у специалиста
- Аллергические реакции. Особенно часто с этими симптомами сталкиваются весной в период активного цветения при аллергии на пыльцу растений и цветов. Пациенты жалуются, что у них болит голова и хочется спать, заложен нос, появляется слезотечение, сыпь на коже и другие признаки поллиноза.
- Гиперсомния — продолжительность ночного сна без объективной необходимости и усталость днем. Сонливость, усталость, головная боль – главные признаки этого состояния. Кстати, астения является разновидностью гиперсомнии.
- Анемия (малокровие) так же характеризуется вялостью, усталостью, болевым синдромом. У пациентов с анемией отмечается снижение гемоглобина, недостаточность функционирования эритроцитов, нехватка кислорода в крови. Отсюда и появляются все эти неприятные симптомы.
- Сахарный диабет и другие проблемы в области эндокринологии тоже являются причиной появления перечисленных симптомов. Диабет сопровождается так же повышением уровня сахара в крои, пониженным давлением, головокружением, сонливостью, жаждой.
Обратите внимание, что это лишь часть тех возможных болезней, при которых могут возникать слабость и головная боль.
Истинную причину этих симптомов может выяснить только специалист.
Алгоритм диагностики
Способы и методы диагностики подбираются индивидуально. Вначале врач осматривает пациента, оценивает характер жалоб, расспрашивает о недавно перенесенных болезнях и хронических недугах. Затем врач уточняет локализацию болевых ощущений, их длительность, частоту возникновения и т.д.
Примерный список вопросов
- Как давно вас беспокоит болевой синдром и слабость?
- Можете ли вы указать, в каком месте вы ощущаете болевые ощущения?
- Как часто вас беспокоят эти симптомы?
- Ощущаете ли вы тошноту в момент приступов?
- Возникают ли у вас головокружения?
- Усиливаются ли симптомы при физической нагрузке?
- Влияет ли ваше состояние на общую активность в течение дня?
- Наблюдали ли вы у ваших родственников похожие признаки?
- Чем вы снимаете неприятные ощущения?
- Какие лекарственные препараты принимаете в настоящее время?
- Какими заболеваниями болели в ближайшие месяцы?
- Какие есть хронические заболевания вас и у ближайших родственников?
Если консультации с пациентом будет недостаточно, врач назначает дополнительные методы диагностики, например, лабораторные анализы, ЭКГ, МРТ и т.д.
На основании полученных данных будет выставлен точный диагноз.
Как снять симптомы самостоятельно?
Если неприятные симптомы были вызваны физической усталостью, умственными нагрузками или напряжением в течение рабочего дня, болевой синдром можно устранить самостоятельно, не прибегая к лекарственным препаратам.
Положительное действие оказывают пешие прогулки на свежем воздухе, контрастный душ, принятие теплой ванны с морской солью, проветривание помещения, медитация. Можно просто полежать, расслабиться, послушать спокойную музыку, почитать легкую интересную книгу.
Если болит голова, можно сделать ароматный чай с листьями мяты, шиповником, лимоном, клюквой или ромашкой. Такие напитки обладают общеукрепляющим, успокаивающим действием, придают сил, повышают иммунитет, улучшают работу головного мозга.
В некоторых случаях возможен прием простых обезболивающих средств (Ношпа, Спазган).
При этом следует помнить, что у каждого средства есть противопоказания и побочные действия, поэтому лучше перед их применением посоветоваться с врачом.
В каком случае обращаться к врачу?
Пациенту важно знать! Если болевые ощущения в голове и усталость сопровождаются другими симптомами (тошнота, рвота, нарушение зрения, чувствительность к громким звукам, дезориентация в пространстве и т.д.), следует незамедлительно обратиться к врачу для оказания помощи!
Посмотрите видео на эту тему
https://youtube.com/watch?v=Cn2VSzeuKQo
Заключение
Слабость и головная боль – распространенные симптомы, с которыми врачам приходится сталкиваться в клинической практике достаточно часто. Чаще всего они не представляют угрозы для здоровья и жизни пациента, легко купируются домашними и легкими медикаментозными средствами.
Но бывают ситуации и более тяжелые, когда признаки эти могут указывать на развитие серьезных заболеваний. Поэтому врачи советуют быть внимательными к своему самочувствию и при необходимости не откладывать визит к врачу. Будьте здоровы.
Источник
Боль в голове без температуры
Важно! Врачи ошарашены! Александр Мясников: простуда, насморк, грипп и ОРВИ лечатся легко! Нужно всего лишь перед сном. Читать далее
Головная боль — один из наиболее частых симптомов целого ряда заболеваний. Многие предпочитают принять таблетку от головы , вместо того, чтобы выяснить причину боли. Но ведь купирование симптома — это не лечение. К тому же, частое употребление обезболивающих может вызвать так называемую абузусную головную боль.
Голова может болеть при самых разных заболеваниях — нервных, сердечно-сосудистых, психических, онкологических и инфекционных, а также травмах. Если болит голова у человека без температуры, список вероятных болезней можно сократить, убрав бактериальные инфекции. Однако и некоторые инфекционные заболевания (не только вирусные, но и бактериальные) на ранних стадиях протекают с нормальной или слегка повышенной температурой.
Как появляется головная боль?
Головной болью принято называть боль, локализующуюся выше воображаемой линии, соединяющей внешний уголок глаз, верхние точки ушей, и проходящей в поперек затылка. Всё, что находится ниже данной линии, называют шейной, ушной или лицевой болью. Такое разделение упрощает диагностику.
Что может болеть в голове? Оказывается, мозг совершенно лишен болевых рецепторов. Любая головная боль вызвана раздражением болевых рецепторов в таких тканях как:
- надкостница черепа;
- кожа и подкожная жировая клетчатка;
- мышцы, в том числе мышечные стенки кровеносных сосудов;
- ткани глазных яблок;
- слизистые оболочки придаточных носовых пазух (гайморовых и лобных).
Чаще всего головная боль вызвана спазмом внутричерепных или подкожных сосудов.
Причины головной боли
Так как данный симптом очень неспецифичен, и появляется при множестве заболеваний, для постановки диагноза необходимо знать как можно больше об образе жизни и состоянии здоровья больного. Чтобы выяснить причину головных болей, ответьте на такие вопросы:
- Высыпаетесь ли вы?
- Удобная ли у вас постель?
- Не слишком ли много вы работаете?
- Давно ли у вас был отпуск?
- Ваше питание полноценное?
- Замечали ли вы, что головная боль появляется в определенных условиях (например, болит голова и наблюдается пониженная температура в душном помещении, при резких сменах погоды, после употребления кофе и т. д.)?
- Были ли у вас травмы головы, внутричерепные оперативные вмешательства?
- Беспокоят ли параллельно другие симптомы (например, болит голова и ломит тело, но температуры нет, или голова болит, першит горло. появился насморк)?
К сожалению, чаще всего люди не хотят отвечать на подобные вопросы и менять что-то в своей жизни, а просят у врача чудодейственное лекарство, которое вмиг избавит от всех проблем. А ведь зачастую нужно просто больше бывать на свежем воздухе, спать не меньше 7 часов, и головные боли исчезнут сами собой.
К лечению следует прибегать только в том случае, если корректировка режима дня и образа жизни не приносит результатов.
Инфекционные заболевания крови
Инфекциями называют болезни, вызванные вторжением в организм патогенного микроорганизма. Это могут быть вирусы, бактерии, простейшие, грибки. Многие микроорганизмы при вторжении вызывают бурную ответную реакцию организма — воспаление. Высокая температура тела — один из симптомов инфекции. Однако некоторые виды микроорганизмов вызывают вялотекущие, скрытые инфекции с минимумом проявлений.
Так, многие вирусные заболевания могут длительное время никак себя не проявлять. Например, вирусы герпеса 6-го, 7-го типа и вирус Эпштейна-Барра (ЭБВ) могут циркулировать в крови, практически не вызывая недомогания. Однако эти вирусы поражают нервную ткань, поэтому со временем человек начинает жаловаться, что у него болит голова, хотя температура тела и низкая (в пределах нормы или субфебрильная). У многих людей, особенно в детском возрасте, активность вирусов вызывает падение температуры до значений ниже 36,6 градусов.
Наличие подобных вирусов можно определить с помощью анализа крови. Если результат положительный, назначают противовирусные препараты (ацикловир, интерферон). Стоит отметить, что вирусы ЭБВ и герпес поражают только людей с ослабленным иммунитетом, поэтому уместно наряду с противовирусными препаратами принимать иммуномодуляторы.
ОРВИ без температуры
Простуда у взрослых редко вызывает гипертермию, чаще ОРВИ протекает с субфебрильной температурой тела (37-38 С), а зачастую повышения температуры вовсе нет. Болит голова, появляется насморк, слабость обычно в первые дни простуды. Через несколько дней состояние нормализуется, мокрота становится не такой жидкой и обильной, насморк в это время менее назойливый, но может появиться кашель, голова болит редко, а температуры нет.
Также при простуде часто болит горло и голова. Если температуры нет, это не ангина, а вирусный тонзиллит. Ангина имеет более яркие проявления и тяжелое течение. Так, при ангине всегда наблюдается выраженная интоксикация, гипертермия выше 38 градусов, сильная боль в горле, отек и покраснение миндалин, появление на их поверхности гноя или мутного налета.
Головная боль на фоне пониженной температуры тела
Понижение температуры тела, или гипотермия, такой же тревожный симптом, как и ее повышение. Гипотермия у большинства людей вызывает такие неприятные ощущения, как слабость, сонливость, головную боль. Если у вас болит голова, а температура тела низкая, это достаточно серьезный повод обратиться к врачу.
Причиной гипотермии могут быть такие состояния:
- сильное физическое переутомление;
- эмоциональный стресс;
- снижение количества гемоглобина в крови;
- гипотиреоз — нарушение гормональной активности щитовидной железы;
- опухоли в черепной коробке;
- влияние некоторых вирусов;
- вегетососудистая дистония;
- скудное питание, жесткая диета;
- переохлаждение.
Как вы видите, список причин довольно обширный. Он охватывает как серьезные заболевания мозга и сердечно-сосудистой системы, так и детали образа жизни, которые легко изменить (например, не так сложно избегать переутомления и сбалансировать питание). Иногда определить причину головных болей довольно трудно, и требуется не только консультация специалиста, но и ряд диагностических процедур (томографическое обследование, биохимические и клинические анализы крови, др.).
Помните, что тщательная диагностика помогает точнее определить причину болезни, а это уже существенный прогресс на пути к выздоровлению.
Выводы
В большинстве случаев людей беспокоит так называемая головная боль напряжения, связанная с переутомлением, нехваткой времени для сна и отдыха, эмоциональным стрессом. Избавиться от эпизода такой боли можно с помощью анальгетика. Однако помните, что принимать обезболивающее при регулярных приступах сильной головной боли — не выход. В этом случае вам необходимо обследоваться в медицинском учреждении. Возможно, именно головная боль является единственным симптомом серьезного заболевания, лечение которого никак нельзя откладывать.
Автор: Оксана Циклаури
Насморк и болит голова, но температуры нет — о чем говорят симптомы?
Если человек жалуется, что у него насморк и болит голова, то эти симптомы не указывают на какую-либо определенную патологию. И далеко не всегда такое состояние сопровождается повышением температуры тела. Поэтому помощь специалиста в упомянутой ситуации будет необходима, особенно в тех случаях, когда подобные признаки длительно сохраняются.
Содержание
Респираторные заболевания
Риновирусная инфекция — одна из возможных причин появления насморка. У детей при таком недуге развивается лихорадка, а у взрослых обычно температура тела остается нормальной.
Затрудненное носовое дыхание, чихание и першение в горле — характерные проявления этой патологии. При отсутствии лечения насморк может сохраняться до 2 недель.
Хронические риниты
При этой группе заболеваний тоже встречаются такие жалобы, как «болит голова, насморк, но температуры нет». Данные симптомы наиболее характерны для гипертрофического и аллергического воспаления слизистой оболочки носа.
При первой форме ринита человека беспокоит затрудненное дыхание, которое может быть постоянным. Иногда заложенность носа возникает с каждой стороны по очереди. Если утолщенные передние отделы нижних носовых раковин сдавливают отверстия слезно-носовых каналов, то развиваются конъюнктивит и слезотечение. В тех случаях, когда нижняя носовая раковина давит на носовую перегородку, рефлекторно появляются головные боли.
Аллергический ринит — воспаление слизистой носа, связанное с контактом с аллергеном. Заложенность носа, обильные водянистые выделения и чихание — основные симптомы. При длительном течении возникают головные боли, раздражительность, слабость, нарушения обоняния и носовые кровотечения.
Хронические синуситы
Это воспаление слизистых оболочек, выстилающих околоносовые пазухи. При хроническом процессе повышения температуры обычно не бывает. Патология сопровождается рядом симптомов:
- В околоносовой области, над переносицей, в носу, над глазом появляются неприятные ощущения, которые со временем постепенно нарастают. К вечеру они усиливаются, а утром выражены менее всего. Через некоторое время у человека возникает головная боль.
- Заложенность носа, как правило, обеих половин. Она обычно носит постоянный характер, но иногда могут возникать небольшие улучшения. У некоторых людей заложенность правой и левой половин носа чередуется попеременно. Голос становится гнусавым.
- Насморк. Выделения из носа обычно слизистые прозрачные или желтовато-зеленые гнойные. Но если нос заложен очень сильно, то отток секрета из пазух затруднен, и выделений может не быть.
- Частое чихание.
- Слабость и общее недомогание.
- Нарушения сна.
Но в зависимости от того, какая пазуха вовлечена, симптомы заболевания отличаются. Синусит может быть как односторонним, так и двусторонним. Выделяют:
- Гайморит — это воспаление слизистой, выстилающей верхнечелюстную пазуху. Развивается, когда в пазуху из полости носа проникают бактерии или вирусы при многих инфекционных заболеваниях с поражением респираторного тракта. Патологический процесс могут вызывать изменения в зубах верхней челюсти.
- Фронтит — воспаление слизистой, которая выстилает пазуху лобной кости. Причины развития совпадают с теми, которые вызывают гайморит. Но патология протекает намного тяжелее. Хроническая форма заболевания возникает, если нарушен отток содержимого пазухи. Это происходит из-за гипертрофии (разрастания и увеличения в объеме) средней носовой раковины или на фоне искривленной носовой перегородки. В лобной области появляется очень сильная боль, и она по утрам наиболее выражена. В тяжелых ситуациях ухудшается обоняние, возникает светобоязнь.
- Этмоидит — воспаление слизистой, которая покрывает ячейки решетчатой кости. Обычно это состояние протекает совместно с гайморитом и фронтитом.
- Сфеноидит — воспалительный процесс слизистой оболочки, которая покрывает клиновидную пазуху. Беспокоят головные боли в области глазницы, темени, затылка и в глубине головы.
Постоянный насморк, сопровождающийся головными болями, требует консультации специалиста для уточнения диагноза. Только после этого врач даст необходимые рекомендации по лечению.
Что делать, если наблюдаются головная боль, температура 37, слабость?
Если беспокоят головная боль, температура 37, слабость, что делать? Подобные симптомы сигнализируют о переутомлении или начале развития заболевания. Для того чтобы определить, что происходит с организмом, необходимо внимательно прислушаться к нему и рассмотреть все сопутствующие симптомы. Причин такого состояния может быть очень много, рассмотрим лишь самые распространенные из них.
Наиболее частые причины повышения температуры до 37 °С и методы лечения
Возможно, причина кроется в вашем сильном переутомлении или нервном стрессе. Возможно, если бы вы случайно не измерили температуру, то даже не знали бы о том, что она повысилась. Если никаких других симптомов нет, то бить тревогу не надо. Заварите себе успокаивающий чай из трав, положите в него ложечку меда, выпейте его маленькими глотками. После этого лягте в постель и постарайтесь расслабиться, отпустите все мысли, которые тревожат вас. Подумайте о чем-то приятном. При переутомлении организм становится незащищенным, поэтому следует позаботиться об этом. В противном случае можете легко подвергнуться респираторной инфекции. Примите витамины, старайтесь больше бывать на свежем воздухе.
Если повышение температуры до 37 °С сопровождает тошнота, диарея или рвота, то, скорее всего, вы отравились какими-то несвежими продуктами. Необходимо будет сесть на легкую диету: употребляйте в течение дня только каши, отварную курицу или рыбу и овощные супы. Можно принять активированный уголь (доза рассчитывается исходя из массы тела). Если температура начнет стремительно расти или симптомы на следующий день не пройдут, то необходимо вмешательство врача. При сильной рвоте необходимо сразу сделать промывание желудка.
Если вы ощущаете першение в горле, насморк, жжение в носу, то это значит, что у вас респираторная инфекция.
Постарайтесь обезопасить окружающих от заражения: пейте из отдельной чашки, не ходите в общественные места и т. д. При первых же симптомах примите суточную дозу витамина С, заварите плоды шиповника в термосе. Употребляйте этот настой как можно чаще. Очень хорошо прочистить организм от инфекции помогает употребление отвара из ромашки с медом. Снизить температуру можно и без применения лекарств. Для этого возьмите 1 столовую ложку сушеной липы и заварите 2 стаканами кипятка. Через 15 минут процедите, добавьте мед или малиновое варенье. Выпейте липовый чай и сразу же ложитесь в постель, укрывшись одеялом.
Опасные заболевания, которые сопровождаются гипертермией и головной болью
Очень часто повышение температуры до 37 °С наблюдается в течение длительного времени у детей. При этом никаких сопутствующих симптомов не наблюдается. Это может случиться из-за гормональной перестройки организма, развития опасного заболевания.
Паниковать не стоит, но и игнорировать эти симптомы нельзя. В первую очередь надо сделать общий анализ крови, просмотреть, как давно обследовались легкие (повышение температуры до 37 °с каждый вечер наблюдается и при начальной стадии туберкулеза). В рационе должно быть достаточное количество свежих овощей и фруктов. Дополнительно следует принимать комплекс витаминов. Если симптомы не проходят, придется пройти полное обследование организма.
Подобное состояние может возникнуть из-за возникновения патологии в опорно-двигательном аппарате, например, при миогелозе. При развитии этого заболевания наблюдается появление уплотнений в области шеи, что приводит к нарушению кровообращения. Больной при этом может испытывать головокружение, боль в затылке и регулярное повышение температуры тела.
Остановить распространение инфекции помогут эфирные масла. Если нет противопоказаний, можете выпить таблетку аспирина. Если на следующий день легче не стало, то придется пройти курс лечения. Ни в коем случае не переносите болезнь на ногах, это может повлечь появление различных осложнений.
После перенесения острого респираторного заболевания может возникнуть опасное осложнение – менингит. Если больной испытывает острую боль в области головы, наблюдаются появление судорог, рвоты и постоянная слабость в теле, то следует незамедлительно обратиться к врачу. Если вовремя не начать лечение, то могут возникнуть опасные осложнения: глухота, эпилепсия, отставание в интеллектуальном развитии.
Если вы длительное время не можете избавиться от насморка, наблюдается постоянная заложенность носа и болит голова, то возможной причиной может стать развитие гайморита. Чтобы избавиться от симптомов, придется пройти курс лечения антибиотиками и сделать промывание носа.
Если болит голова и слабость ощущается во всем теле, наблюдаются нарушение работы кишечника, психомоторное возбуждение, рвота, припадки, то это может говорить о заражении энцефалитом. При малейшем подозрении нужно в тот же день обратиться за помощью в больницу. Промедление может стоить жизни. Те же признаки сопровождают другое опасное заболевание – полиомиелит. При его развитии наблюдаются острая боль в горле, животе, общая слабость, заложенность носа, рвота. Полиомиелит имеет разные формы – от легкой до очень тяжелой. Если вовремя не начать лечение, могут возникнуть паралич, атрофия, деформация конечностей, искривление позвоночника.
Повышение температуры и головная боль могут возникнуть при серьезной интоксикации организма ядовитыми соединениями, вирусами или опасными бактериями. При интоксикации возможно появление рвоты, тошноты. В данном случае следует наблюдать за тем, чтобы организм не остался обезвоженным. Необходимо пить как можно больше жидкости. Если улучшение не наблюдается, следует вызвать врача. Повышение температуры является тревожным сигналом: может быть поражена нервная система или развиться печеночная недостаточность. В любом случае следует пройти обследование и при необходимости лечь в больницу.
Комментариев пока нет!
Источник

